一、项目简介
本项目为一种抗辐射的中药产品。本项目用方来源于杨维益教授临床治疗放疗后诸症的经验方,后经项目团队结合临床实践、文献梳理、以及大量实验研究优化而得。本产品寒热并调、补泻兼施,共奏补气养阴,益精生血,凉血解毒之功,可广泛用于辐射损伤的防护。
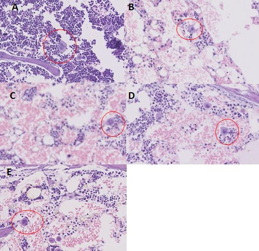
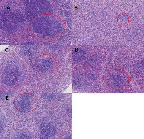
在国家及校级多项课题的资助下,本项目已完成实验室研究,明确了产品对电离辐射引发的造血及免疫损伤具有显著的防护作用。未来,我们还将继续探究本产品对其他系统的辐射防护作用。
二、专家简介

李峰,北京中医药大学中医学院党委书记、教授、主任医师、博士生导师,李峰教授现任中医康复专业委员会主任委员,中华中医药学会中医诊断分会副主任委员。

胡素敏,北京中医药大学中医学院中药教研室主任、教授、主任医师、博士生导师,胡素敏教授主持省部级以上课题 13 项,发表论文 100 余篇,SCI 收录 14 篇,主编专著 4 部,获得专利 2 项,入选教育部新世纪优秀人才支持计划和北京市科技新星 A 类计划。
三、项目亮点
本项目所用中药复方,方中诸药均在 2025 年卫健委最新公布的药食同源或可用于保健食品的物品名单中。复方安全、多靶点起效,规避了现有抗辐射化学药物中效价较低、毒性较大等临床应用不尽理想的弊端。
知识产权情况:已授权 1 项专利(一种抗辐射的中药组合物)。


四、合作需求
合作方式:目前寻求企业合作共同开发 1.1 类中药创新药或大健康产品,同时可根据企业需求进行相关技术开发。
联系方式:郑老师,15510570653